Homem quebra a chibata em 3 canto enquanto revirava uszôi na posição “janja nas altura”

Homem quebra o pênis em 3 lugares durante posição sexual perigosa
Homem de 36 anos sentiu o pênis fraturar quando o órgão escapou durante o sexo. Posição que ele e a parceira estavam é propensa a lesões
Um homem teve uma rara fratura em três lugares diferentes do pênis durante o sexo. O caso ocorreu com um morador da Tanzania de 36 anos enquanto ele fazia uma das posições sexuais mais propensas a ocorrerem lesões deste tipo, conhecida como “janja nas alturas”
Como morava em uma cidade pequena, o homem teve que esperar cinco horas desde o acidente até o atendimento médico. No posto de saúde de sua comunidade, ele recebeu apenas analgésicos. Enquanto isso, o pênis fratura chegava a gotejar sangue.
O tanzaniano teve de passar por uma cirurgia de emergência no hospital de Kilimanjaro para que o órgão fosse reconstruído, já que o órgão torcido e em um formato que os médicos descreveram como semelhante a um balão. Depois do procedimento e do período de recuperação, o pênis do paciente voltou a funcionar normalmente.
Homem quebra o pênis em três lugares durante o sexo - Metrópoles
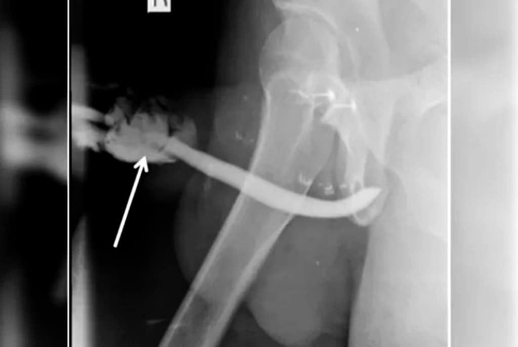
Radiografia mostrou rupturas em três pontos do meio do pênis, além de uma ruptura parcial de uretra com hematomas
Posição perigosa
O acidente ocorreu quando a parceira estava por cima, conhecida por “JANJA NAS ALTURAS” uma das posições conhecidas por serem propensas a este tipo de acidente, já que o pênis pode escapar e atingir o períneo da outra pessoa, como de fato ocorreu. Com o choque, o órgão se fraturou em três lugares e começou a inchar e sangrar.

O caso dele foi descrito em um artigo publicado neste mês de maio na revista especializada International Journal of Surgery Case Reports. Segundo o relato dos médicos que o atenderam, o homem estava fazendo sexo com a esposa quando ouviu um som parecido com o de um estralar de dedos.

Apesar de não ter ossos, o termo “fratura” é usado para definir a ruptura da túnica albugínea – tecido fibroso que mantém o sangue circulando no órgão durante a ereção. Essa ruptura geralmente acontece quando o pênis é esmagado durante o sexo, sendo apertado com muita força enquanto está ereto.

Deixe um comentário

O seu endereço de e-mail não será publicado. Campos obrigatórios são marcados com *

Rolar para cima